مرکز کاشت دندان و زیبایی

صفحه‌ی اختصاصی مرکز تخصصی دکتر نبی زاده

Nobat.ir/dr_nabizadeh
تعداد بازدید صفحه: ۲۱۰۱

:: قابل توجه شرکت های تبلیغاتی ::
NOBAT.IR هیچگونه تبلیغاتی را در صفحات‌رسمی‌پزشکان نمی‌پذیرد.

پنل مدیریت پزشک
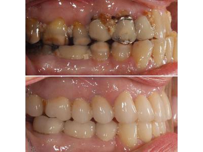
مرکز تخصصی دکتر نبی زاده
دندانپزشک زیبایی-ایمپلنتولوژیست
مرتب سازی دندانها با یا بدون ارتو دنسی
دارای امکان ثبت نوبت تلفنی
آدرس و شماره تماس مرکز تخصصی دکتر نبی زاده :
تهران
شریعتی شمالی - بالاتر از سیدخندان - کوچه لادن - جنب بانک پارسیان - پلاک ۴۵ - همکف - واحد یک
۲۲۸۶۰۴۸۰
09104540169
کادر علمی دانشگاه تهران وپژوهشگر ارشد مرکز تحقیقات دانشکده دندانپزشکی
ساعات ویزیت : 17 تا 20:30
طرف قرار دادبیمه ایران وبیمه سلامت/خدمات درمانی کارمندی
اینستاگرام مرکز تخصصی دکتر نبی زاده dr_nabizadeh
تلگرام مرکز تخصصی دکتر نبی زاده:sepehrad dental cilinic
جدیدترین آگهی های دندانپزشک ، دندانساز ترمیم و خدمات زیبائی دندان
متخصص درمان ریشه و عصب کشی در صادقیه ؛ کلینیک تخصصی درمان ریشه دندان در صادقیه
1404/9/14 23:30:03
متخصص درمان ریشه و عصب کشی در صادقیه ؛ کلینیک تخصصی درمان ریشه دندان در صادقیه
دکتر میترا وثوقی

کلینیک تخصصی دندانپزشکی دکتر میترا وثوقی : دارای بورد تخصصی واستادیار و عضو اسبق هیئت علمی دانشگاه، دارای مدرک دوره تخصصی زیبایی، کامپوزیت و ونیر از دانشگاه تهران…

کلینیک تخصصی دندانپزشکی مبین در تهرانسر
1404/9/14 23:21:02
کلینیک تخصصی دندانپزشکی مبین در تهرانسر
کلینیک دندانپزشکی مبین

کلینیک تخصصی دندانپزشکی مبین در تهران ارائه دهنده کلیه خدمات تخصصی و عمومی دندانپزشکی - ایمپلنت با بهترین برندها و دارای گارانتی توسط متخصص جراح و فک صورت - درمان تخ…

کلینیک دندانپزشکی و دندانسازی  نکو  در محدوده اشرفی اصفهانی
1404/9/14 23:04:02
کلینیک دندانپزشکی و دندانسازی نکو در محدوده اشرفی اصفهانی
کلینیک دندانپزشکی نکو

کلینیک دندانپزشکی و دندانسازی نکو در شمال غرب تهران با بهره مندی از دندانپزشکان عمومی و متخصص و با تیم خدماتی مجرب در کنار تجهیزات مدرن و به روز همواره می کوشد تا به…

متخصص ارتودنسی و ایمپلنت در اسلامشهر
1404/9/14 21:47:02
متخصص ارتودنسی و ایمپلنت در اسلامشهر
دکتر هوشنگ اسماعیل نژاد

دندان پزشکی شفیع دندانپزشکی در اسلامشهر +++ دندانپزشکی دکتر هوشنگ اسماعیل نژاد +++ متخصص ارتودنسی و ایمپلنت محدوده اسلامشهر متخصص ایمپلنت در اسلامشهر متخصص ارتودنس…

دکتر سعید ناصح  دندانساز و دندانپزشک در ستارخان
1404/9/14 20:21:02
دکتر سعید ناصح دندانساز و دندانپزشک در ستارخان
دکترسعید ناصح

خدمات دندانپزشکی دکتر سعید ناصح در ستارخان – کیفیت و تجربه بی‌نظیر معرفی دکتر سعید ناصح دکتر سعید ناصح ، با بیش از 34 سال سابقه حرفه‌ای در دندانپزشکی و دندانسازی، ی…

مجموعه زیبایی و دندانپزشکی دیجیتال مروا در سعادت آباد
1404/9/14 18:47:05
مجموعه زیبایی و دندانپزشکی دیجیتال مروا در سعادت آباد
مجموعه زیبایی و دندانپزشکی دیجیتال مروا

مجموعه زیبایی و دندانپزشکی دیجیتال مروا در غرب تهران و در محدوده سعادت آباد با ارائه خدمات دندانپزشکی و خدمات زیبایی پوست و مو در خدمت مراجعین عزیز میباشد . طراحی و س…

مرکز خدمات رادیوگرافی و رادیولوژی دکتر نکیسا ایل
1404/9/14 18:30:05
مرکز خدمات رادیوگرافی و رادیولوژی دکتر نکیسا ایل
نکیسا ایل

رادیولوژی فک و صورت سعادت آباد رادیولوژی فک و صورت شهرک غرب سی تی اسکن دندان سعادت آباد سی تی اسکن دندان شهرک غرب عکس دندان او پی جی دندان تحویل فوری سی تی اسکن دندان ف…

جراح و دندانپزشک و متخصص آسیب شناسی دهان در شیراز
1404/9/14 18:21:01
جراح و دندانپزشک و متخصص آسیب شناسی دهان در شیراز
دکتر عباسعلی پایدار

دکتر عباسعلی پایدار | جراح و دندانپزشک در شیراز اگر به دنبال دندانپزشک متخصص و با تجربه در شیراز هستید، دکتر عباسعلی پایدار یکی از برترین و شناخته‌شده‌ترین نام‌ها …

جراح دندانپزشک و متخصص ایمپلنت در محدوده پیروزی
1404/7/6 6:30:01
جراح دندانپزشک و متخصص ایمپلنت در محدوده پیروزی
دکتر سید علی قمصری

دکتر سید علی قمصری دندانپزشک عمومی جراح دندانپزشک متخصص ایمپلنت مطب دندانپزشکی در محدوده پیروزی ارائه دهنده کلیه خدمات دندانپزشکی : درمان ریشه دندان کاشت دندان …

کلینیک تخصصی داندانپزشکی دکتر مرتضوی ایمپلنت و خدمات زیبایی دندان در محدوده  غرب تهران
1404/5/4 9:04:01
کلینیک تخصصی داندانپزشکی دکتر مرتضوی ایمپلنت و خدمات زیبایی دندان در محدوده غرب تهران
دکتر بدرالسادات مرتضوی

کلینیک تخصصی داندانپزشکی دکتر مرتضوی ایمپلنت و خدمات زیبایی دندان در محدوده جیحون کلینیک تخصصی ایمپلنت و خدمات زیبایی دندان دکتر مرتضوی در منطقه جیحون و در غرب تهر…

متخصص ارتودنسی و ایمپلنت   در ولنجک
1404/4/11 11:21:02
متخصص ارتودنسی و ایمپلنت در ولنجک
دکتر علی علافر

دکتر علی علافر جراح و دندانپزشک عضو آکادمی دندانپزشکان زیبایی آمریکا American Academy Of cosmetic Dentistry دارای گواهینامه ایمپلنت از Biohorizon آمریکا، Xive آلمان، ITI سوئیس متخصص ارتودنس…

دندانپزشک زیبایی و درمان ریشه  در شریعتی - قبا - دروس
1403/12/6 12:04:01
دندانپزشک زیبایی و درمان ریشه در شریعتی - قبا - دروس
دکتر نیلوفر داودپور

مطب دندانپزشکی یک مکان حیاتی برای حفظ و بهبود سلامت دهان و دندان‌ها است. این مکان توسط دندانپزشک و تیم پزشکی وابسته به او اداره می‌شود. در یک مطب دندانپزشکی، خدمات م…

بهترین  دندانسازی در فردیس کرج
1403/4/9 10:30:02
بهترین دندانسازی در فردیس کرج
قاسمی

دندانسازی قاسمی سال تاسیس 1359 دارای مجوز رسمی از وزارت بهداشت درمان و آموزش پزشکی اولین مرکز ساخت پروتزهای دندانی در فردیس کرج با بیش از 30 سال تجربه ، متخصص در امر سا…

لابراتوار دندانسازی سعادت آباد
1402/6/31 18:26:28
لابراتوار دندانسازی سعادت آباد
بی نی سی

کلیه خدمات لابراتوار دندان مصنوعی قالبگیری ساخت تعمیر ترمیم چسباندن دندان مصنوعی ترک خورده شکسته رفع لقی دندان مصنوعی ویزیت مشاوره رایگان خدمات در منزل رایگان پیک …

دندانسازی ولنجک
1402/6/8 22:31:04
دندانسازی ولنجک
بی نی سی

قالبگیری ساخت تعمیر ترمیم انواع دندان مصنوعی خدمات در منزل رایگان

 جراح و دندانپزشک زیبایی در شیراز
1402/6/4 6:21:01
جراح و دندانپزشک زیبایی در شیراز
خانم دکتر آنیتا امراللهی

کلینیک دندانپزشکی خانم دکتر آنیتا امراللهی جراح و دندانپزشک زیبایی در شیراز می باشد . مطب دندانپزشکی خانم دکتر آنیتا امراللهی دندانپزشک زیبایی و ترمیم با ارائه کلی…

لابراتوار دندانسازی شهرک غرب
1401/11/27 21:16:59
لابراتوار دندانسازی شهرک غرب
بی نی سی

ساخت تعمیر انواع دندان مصنوعی

 لابراتوار دندانسازی نگین در قزوین
1401/10/11 7:15:02
لابراتوار دندانسازی نگین در قزوین
تراب زارع

لابراتوار دندانسازی نگین ساخت پروتز ثابت و متحرک در قزوین ساخت پلاک ارتودنسی در قزوین ساخت ایمپلنت در قزوین مزایای رقابتی لابراتوار دندانسازی نگین استفاده ا…

متخصص کاشت ایمپلنت در مشهد
1401/9/28 12:05:02
متخصص کاشت ایمپلنت در مشهد
دکتر محمد صادق زارع

دندانپزشک محمد صادق زارع متخصص کاشت ایمپلنت و جراحی لثه در مشهد مطب دندانپزشکی دکتر محمد صادق زارع ارائه دهنده خدمات دندانپزشکی در مشهد دکتر محمدصادق زارع دارای بو…

دکتر ندا روحی دندانپزشک و متخصص درمان ریشه دندان در غرب تهران
1401/3/17 6:40:01
دکتر ندا روحی دندانپزشک و متخصص درمان ریشه دندان در غرب تهران
دکتر ندا روحی

دکتر ندا روحی دکتر ندا روحی دندانپزشک و متخصص درمان ریشه دندان در سعادت آباد جراحی و درمان ریشه دندان عصب‌کشی ویژگی‌های خدمات مطب دندانپزشکی دکتر ندا روحی …

نام :
دکتر ذبیح اله نبی زاده
موقعیت :
شهر تهران
آدرس :
شریعتی شمالی - بالاتر از سیدخندان - کوچه لادن - جنب بانک پارسیان - پلاک ۴۵ - همکف - واحد یک
تلفن :
22860480--
موبایل :
09104540169
ایمیل :
به روزرسانی :
8 سال و3 ماه و 2 روز و 13 ساعت و43 دقیقه 48 ثانیه پیش
بازدیدها :
8136
کد آگهی :
113156

روزانه هزاران آگهی در سایت "ایران گو" منتشر می شود. سایت ” ایران گو" صرفا به معرفی کالا ها ، خدمات و نیازمندی های شهروندان می پردازد ، لذا هیچ گونه مسئولیتی در قبال محتوای آگهی و پرداخت های مالی کاربران ندارد.لطفا هنگام داد و ستد در فضای مجازی ، از صحت ادعای آگهی دهندگان اطمینان لازم را به دست آورید.برای کسب اطلاعات بیشتربه سایت پلیس فتا مراجعه نمایید csirc.fata.gov.ir