متخصص جراحی فک و صورت ، جراحی ایمپلنت و فک و بینی در تهران

دکتر علی بخشنده‌فرد
متخصص جراحی فک، صورت، دهان و بینی – دارای بورد تخصصی از دانشگاه تهران
عضو هیئت علمی دانشگاه – جراح و مدرس برجسته جراحی فک و صورت

خدمات تخصصی:

جراحی زیبایی بینی (رینوپلاستی)

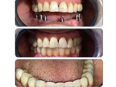
جراحی ایمپلنت‌های معتبر دندانی

جراحی زیبایی و بازسازی فک و صورت

جراحی دندان‌های نهفته و جراحی‌های داخلی دهان

تزریق بوتاکس و ژل برای جوانسازی صورت

جراحی اصلاح روابط فکی (ارتوگناتیک)

چرا دکتر علی بخشنده‌فرد؟
✔ تجربه و مهارت بالا در جراحی زیبایی و درمانی
✔ استفاده از تجهیزات و تکنیک‌های روز دنیا
✔ ارائه خدمات در محیطی کاملاً تخصصی و استریل

مناطق تحت پوشش خدمات:

جراحی بینی در خیابان پیروزی، نارمک، پاسداران و شرق تهران

جراحی فک در خیابان پیروزی، نارمک، پاسداران و محدوده رسالت

جراحی ایمپلنت در خیابان پیروزی، نارمک، پاسداران و محدوده رسالت

مطب دکتر علی بخشنده‌فرد: مرکز تخصصی ایمپلنت و جراحی فک و صورت در تهرانپارس و شرق تهران

تلفن تهران : 77729010
77729100
آدرس تهران : منطقه 4 - فلکه اول تهرانپارس - 154 شرقی - مجتمع سریتا
تلفن زنجان : 02433363315
موبایل زنجان : 09331996503
آدرس زنجان : زنجان - چهارراه سعدی - روبروی کوچه قلعه - کوچه انصاری - ساختمان پزشکان آراد - طبقه 2

جهت کسب اطلاعات بیشتر از پیج اینستاگرامی ما بازدید فرمایید .

اینستاگرام :
https://www.instagram.com/dr.bakhshandefard_ali/


اگر به دنبال یک جراح باتجربه و ماهر در زمینه جراحی فک و صورت، جراحی ایمپلنت‌های دندانی و جراحی زیبایی بینی در تهران هستید، دکتر علی بخشنده‌فرد با سال‌ها تجربه تخصصی و دارا بودن بورد تخصصی از دانشگاه تهران، انتخابی مطمئن برای شماست.
کلمات مرتبط
جدیدترین آگهی های پزشكي
جراح و متخصص کلیه و مجاری ادراری  ، فلوشیپ اورولوژی فانکشنال و زنان در تهران
1404/9/27 3:47:01
جراح و متخصص کلیه و مجاری ادراری ، فلوشیپ اورولوژی فانکشنال و زنان در تهران
دکتر مریم امامی

دکتر مریم امامی جراح و متخصص کلیه و مجاری ادراری ( فلوشیپ اورولوژی فانکشنال و زنان ) در تهران و درمحدوده خیابان ولیعصر میباشد . جراح و متخصص کلیه و مجاری ادراری نوار م…

بیمارستان دامپزشکی پیروز بهترین دامپزشکی در مهرشهر کرج
1404/9/27 3:47:01
بیمارستان دامپزشکی پیروز بهترین دامپزشکی در مهرشهر کرج
بیمارستان دامپزشکی پیروز

اگر در کرج یا اطراف آن زندگی می‌کنید و به دنبال بهترین و مجهزترین کلینیک دامپزشکی برای سگ، گربه یا پرنده زینتی خود هستید، بیمارستان دامپزشکی پیروز در خدمت شماست. ما …

متخصص درمان قطعی زگیل تناسلی و جراحی ختنه در جنت آباد
1404/9/27 3:30:03
متخصص درمان قطعی زگیل تناسلی و جراحی ختنه در جنت آباد
دکتر منعم رشدی

کلینیک تخصصی اورولوژی دکتر منعم رشدی: درمان پیشرفته بیماری‌های اورولوژی در غرب تهران اگر به دنبال یک متخصص اورولوژی مجرب در غرب تهران هستید، کلینیک تخصصی دکتر منعم…

درمان هموروئید - بواسیر بدون عمل جراحی
1404/9/27 3:30:03
درمان هموروئید - بواسیر بدون عمل جراحی
دکتر مهرداد رضایی

درمان بیماری هموروئید درمان بواسیر درمان بيماريهاي نشينگاه هموروييد يا بواسير فيشر يا شقاق فيستول كيست مویی بدون عمل جراحی ، بدون درد ، بدون خونریزی توسط دکتر مه…

بهترین ارتوپد خانم جراحی استخوان و مفاصل درمان شکستگی های جوش نخورده  در تهران
1404/9/27 3:30:03
بهترین ارتوپد خانم جراحی استخوان و مفاصل درمان شکستگی های جوش نخورده در تهران
دکتر فاطمه منتظر لطف الهی

جراحی استخوان و مفاصل درمان شکستگی ها و شکستگی جوش نخورده در تهران دکتر فاطمه منتظر لطف الهی ، متخصص جراحی استخوان و مفاصل orthopedic surgeon - درمان شکستگی ها و درمان شکستگ…

دکتر پروانه محمد خانی روانشناس بالینی ،  دکترای روانشناسی بالینی  ، فلوشیپ پست دکتری در روان درمانی
1404/9/27 3:30:03
دکتر پروانه محمد خانی روانشناس بالینی ، دکترای روانشناسی بالینی ، فلوشیپ پست دکتری در روان درمانی
دکتر پروانه محمدخانی

دکتر روانشناس بالینی فلوشیپ پست دکتری در رواندرمانی روانشناس بالینی بهترین روانشناس بالینی پروانه محمدخانی استاد پایه 28 مدیر دپارتمان روانشناسی بالینی دانشگاه ع…

زیبایی نوشین مخدومی  آموزش تخصصی حضوری و مجازی  ژل ، بوتاکس ، لیفت نخ در مشهد و تهران
1404/9/27 3:30:03
زیبایی نوشین مخدومی آموزش تخصصی حضوری و مجازی ژل ، بوتاکس ، لیفت نخ در مشهد و تهران
نوشین مخدومی

آموزش تخصصی حضوری و مجازی ژل ، بوتاکس ، لیفت نخ نوشین مخدومی در مشهد و تهران آموزش تخصصی ژل ، بوتاکس ، لیفت نخ در مشهد و سراسر ایران نوشین مخدومی با آموزش حضوری و مجا…

کلینیک تخصصی فیزیوتراپی رز در شیراز
1404/9/27 3:30:03
کلینیک تخصصی فیزیوتراپی رز در شیراز
فیزیوتراپیست رزا قنبرپور

فیزیوتراپی رز زیر نظر فیزیوتراپیست رزا قنبرپور سوابق علمی و حرفه‌ای فیزیوتراپیست رزا قنبرپور کارشناس فیزیوتراپی درمان مشکلات اسکلتی، عضلانی و نورولوژی شروع فع…

ازن درمانی زخم در منزل  و  درمان گزگز وبی حسی پا در بیمار دیابتی با لیزر در ساوه
1404/9/27 3:30:03
ازن درمانی زخم در منزل و درمان گزگز وبی حسی پا در بیمار دیابتی با لیزر در ساوه
فرشته تقی ای

درمانگر زخم فرشته تقی ای از جمله بهترین درمانگر زخم در استان مرکزی و در شهرستان ساوه میباشد . درمان نوروپاتی دیابتی با لیزر در ساوه و نیز درمان گزگز و بی حسی پا در بیم…

دکتر آفت دنیوی جراح و متخصص بیماریهای زنان در سعادت آباد
1404/9/27 3:21:01
دکتر آفت دنیوی جراح و متخصص بیماریهای زنان در سعادت آباد
آفت دنیوی

درمان و جوانسازی واژن با لیزر CO2 فراکشنال در سعادت آباد تهران دکتر آفت دنیوی ، جراح و متخصص زنان، زایمان و نازایی (شماره نظام پزشکی ۲۸۵۶۱) در غرب تهران – محدوده سعادت …

کلینیک فیزیوتراپی مدائن فیزیوتراپی  تخصصی کف لگن در تهران
1404/9/27 3:21:01
کلینیک فیزیوتراپی مدائن فیزیوتراپی تخصصی کف لگن در تهران
کلینیک فیزیوتراپی مدائن

کلینیک تخصصی فیزیوتراپی مدائن در سال 1386 در زمینه‌ی درمان مشکلات عصبی، اسکلتی، حرکتی و لگن شروع به‌کار کرد. فیزیوتراپیست علیرضا مجدی زاده فیزیوتراپیست شکوفه یحیوی…

کلینیک تخصصی  پوست و مو  و زیبایی در منطقه  پاسداران
1404/9/27 3:21:01
کلینیک تخصصی پوست و مو و زیبایی در منطقه پاسداران
آقای دکتر فردین قهرمانی

کلینیک زیبایی پوست و مو لیدوما دکتر فردین قهرمانی مرکز تخصصی انواع خدمات زیبایی پوست و مو بهترین کلینیک پوست و مو و زیبایی در منطقه شرق تهران در محدوده پاسداران بهت…

بهترین کلینیک طب سوزنی و ماساژ و طب سنتی و حجامت در خانی آباد نو
1404/9/27 3:04:01
بهترین کلینیک طب سوزنی و ماساژ و طب سنتی و حجامت در خانی آباد نو
کلینیک طب سنتی افرا

کلینیک طب سنتی افرا در خانی آباد نو از جمله بهترین کلینیک طب سوزنی و ماساژ و طب سنتی و مرکز حجامت در خانی آباد نو با ارائه خدمات زیر در خدمت شما عزیزان است . الف - مشا…

مطب پوست و مو محدوده خیابان آذربایجان
1404/9/27 2:47:01
مطب پوست و مو محدوده خیابان آذربایجان
دکتر میترا کاوئی

دکتر میترا کاوئی – داخلی زنان و متخصص پوست ، مو و زیبایی شماره نظام پزشکی: 34465 اگر به دنبال خدمات حرفه‌ای و مطمئن در زمینه پوست، مو و زیبایی هستید، مطب دکتر میترا کا…

تولید و توزیع  هات پلیت ، انکوباتور ، اون استیل ، بن ماری ، آب مقطرگیری
1404/9/27 2:47:01
تولید و توزیع هات پلیت ، انکوباتور ، اون استیل ، بن ماری ، آب مقطرگیری
شرکت رایمند طب

تولید کننده هات پلیت ، انکوباتور ، اون استیل ، بن ماری ، آب مقطرگیری ، سانترفیوژ و شیکر شرکت رایمند طب پس از چندین سال فعالیت پژوهشی، از فروردین ماه سال ۱۳۸۰ موفق به ت…

فتوگرافی و فتوماکروگرافی  پزشکی طب نگار  در کرج
1404/9/27 2:47:01
فتوگرافی و فتوماکروگرافی پزشکی طب نگار در کرج
فتوگرافی پزشکی طب نگار

فتوگرافی پزشکی طب نگار در البرز و در محدوده چهارراه طالقانی از یک مجموعه متخصص جهت فتوگرافی و فتوماکروگرافی پزشکی برای جراحی پلاستیک ، جراحی زیبایی ، رینوپلاس…

متخصص ارتودنسی و ایمپلنت در اسلامشهر
1404/9/27 2:21:02
متخصص ارتودنسی و ایمپلنت در اسلامشهر
دکتر هوشنگ اسماعیل نژاد

دندان پزشکی شفیع دندانپزشکی در اسلامشهر +++ دندانپزشکی دکتر هوشنگ اسماعیل نژاد +++ متخصص ارتودنسی و ایمپلنت محدوده اسلامشهر متخصص ایمپلنت در اسلامشهر متخصص ارتودنس…

دکترسید علیرضا بصامپور جراح استخوان و مفاصل
1404/9/27 2:04:01
دکترسید علیرضا بصامپور جراح استخوان و مفاصل
سید علیرضا بصامپور

دکتر سید علیرضا بصامپور به عنوان جراح استخوان و مفاصل Orthopedic surgeon و فوق تخصص جراحی ستون فقرات ( spine surgeon ) خدمات زیر را اریه می نماید : امکان ویزیت آنلاین به صورت تماس تلف…

دکتر مریم کریمیان بهترین  جراح دندانپزشک بزرگسالان و کودکان در شریعتی
1404/9/27 2:04:01
دکتر مریم کریمیان بهترین جراح دندانپزشک بزرگسالان و کودکان در شریعتی
دکتر مریم کریمیان

دکتر مریم کریمیان جراح - دندانپزشک با شماره نظام پزشکی 81851 ارائه دهنده کلیه خدکات دندانپزشکی به شهروندان می باشد . مطب دندانپزشکی دکتر مریم کریمیان ارائه دهنده خدمات…

متخصص سونوگرافی خانم ، سونوگرافی خوب ، سونوگرافی دقیق در فلسطین شمالی
1404/9/27 2:04:01
متخصص سونوگرافی خانم ، سونوگرافی خوب ، سونوگرافی دقیق در فلسطین شمالی
دکتر آسیه رضوانی متخصص رادیولوژی - دکتر محسن دارابی متخصص رادیولوژی

دکتر آسیه رضوانی | متخصص رادیولوژی و سونوگرافی خانم در تهران و در محدوده فلسطین شمالی اگر به دنبال متخصص سونوگرافی خانم با تجربه و دقت بالا در تهران هستید، دکتر آسیه …

نام :
دکتر علی بخشنده فرد
موقعیت :
شهر تهران
آدرس :
فلکه اول تهرانپارس - 154 شرقی - مجتمع سریتا
به روزرسانی :
6 ساعت و10 دقیقه 9 ثانیه پیش
بازدیدها :
26279
کد آگهی :
121256

روزانه هزاران آگهی در سایت "ایران گو" منتشر می شود. سایت ” ایران گو" صرفا به معرفی کالا ها ، خدمات و نیازمندی های شهروندان می پردازد ، لذا هیچ گونه مسئولیتی در قبال محتوای آگهی و پرداخت های مالی کاربران ندارد.لطفا هنگام داد و ستد در فضای مجازی ، از صحت ادعای آگهی دهندگان اطمینان لازم را به دست آورید.برای کسب اطلاعات بیشتربه سایت پلیس فتا مراجعه نمایید csirc.fata.gov.ir